在山西省,不少家長都關心兒童牙齦炎的治療費用問題。牙齦炎雖是常見的口腔疾病,但治療費用卻因多種因素而有所不同。接下來,就讓我們深入了解一下影響山西省兒童牙齦炎治療費用的因素,讓大家花錢花得明白。

山西太原口腔醫院:牙齦炎治療費用與病情嚴重程度
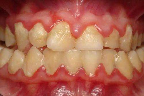
牙齦炎的嚴重程度直接影響治療費用。在山西太原口腔醫院,輕度牙齦炎可能只需要簡單的口腔清潔,費用相對較低,可能100元即可。這類輕度牙齦炎通常是由於日常口腔衛生不當,導致牙齒表面有少量牙菌斑和牙石堆積,通過簡單的潔治就能解決問題。而如果是重度或複雜的牙齦炎,可能需要更全方面的治療,比如進行齦上潔治、齦下刮治、齦溝沖洗,有時還需配合使用藥物,治療費用會相應增加,可能需要300 - 2000元。重度牙齦炎往往伴有牙齦腫脹、出血嚴重,甚至可能影響到牙槽骨健康,治療過程也更為複雜。

山西大同口腔醫院:不同治療方法的費用差異
在山西大同口腔醫院,治療牙齦炎的方法不同,費用也有较大差別。如果是輕度牙齦炎,只需進行齦上潔治,不必用藥,可能100 - 500元即可。齦上潔治是通過超聲波等設備清除牙齒表面的牙結石和菌斑,是治療輕度牙齦炎的基礎方法。而對於較為嚴重的牙齦炎甚至伴有全身症狀的情況,可能需要進行齦上潔治、齦下刮治、齦溝沖洗,有時候還需配合使用藥物,費用可能需要500 - 2000元。比如中度牙齦炎可能需要結合局部藥物治療,如消毒漱口水氯己定漱口液、消炎牙膏或上藥劑,這類藥物的費用通常在50 - 200元左右。若症狀較重,可能需服用抗生素進行系統治療,比如阿莫西林或甲硝唑,這部分費用少則幾十元,多則一兩百元。

山西長治口腔醫院:地區消費水平對費用的影響
不同地區的消費水平也會影響牙齦炎的治療費用。在山西長治口腔醫院,一般來說,一線城市的費用可能會較高,為1000 - 2000元。這是因為一線城市的物價水平、房租、人力成本等相對較高,所以治療費用也會隨之增加。而如果是在一些小鎮診所,費用會明顯降低,可能100 - 500元。小鎮的運營成本相對較低,所以治療費用也更為親民。

山西晉中口腔醫院:醫保情況對費用的影響
牙齦炎是可以報銷醫保的,在山西晉中口腔醫院,如果正常繳納醫保,並且達到了起付線,則費用較低,可能300 - 500元。這對於患者來說是一個较大的優惠,可以減輕經濟負擔。反之,如果沒有醫保或者未達到起付線,費用較高,可能為500 - 1500元。所以,家長們在考慮孩子牙齦炎治療費用時,也要考慮醫保的因素。

山西運城口腔醫院:醫院選擇對費用的影響
選擇不同的醫院,牙齦炎的治療費用也會有所不同。在山西運城口腔醫院,如果是選擇小診所,費用較低,可能是100 - 200元足矣。小診所的運營成本相對較低,所以收費也比較便宜。但小診所的設備和技術可能相對有限。如果是選擇大型三等甲專科醫院或者較為高端的私立醫院,則費用會明顯增加,可能需要1000 - 2000元。這些醫院通常擁有更先進的設備、更專業的醫生團隊,治療成效也更有保护。
常見牙齦炎治療費用參考
| 治療方式 | 費用範圍 |
|---|---|
| 牙周潔治(普通超聲波潔牙) | 200 - 500元 |
| 牙周潔治(複雜深度潔牙或噴砂潔牙) | 500 - 1000元 |
| 藥物治療(局部藥物) | 50 - 200元 |
| 藥物治療(抗生素系統治療) | 幾十元 - 一兩百元 |
| 牙周刮治手術或牙齦切除手術 | 1000 - 3000元甚至更多 |
總之,山西省兒童牙齦炎的治療費用因病情嚴重程度、治療方法、所在地區、醫保情況、醫院選擇等多種因素而異。家長們在選擇治療方案時,應綜合考慮孩子的自身情況、治療成效和費用等因素,並諮詢專業醫生的意見。如果您想了解具體的費用和治療方案,歡迎在線點擊詢問客服,我們將為您提供詳細的解答。

发表评论 取消回复